Before & Afters Photos - Idaho Falls, ID

The Proof Is In Our Patients

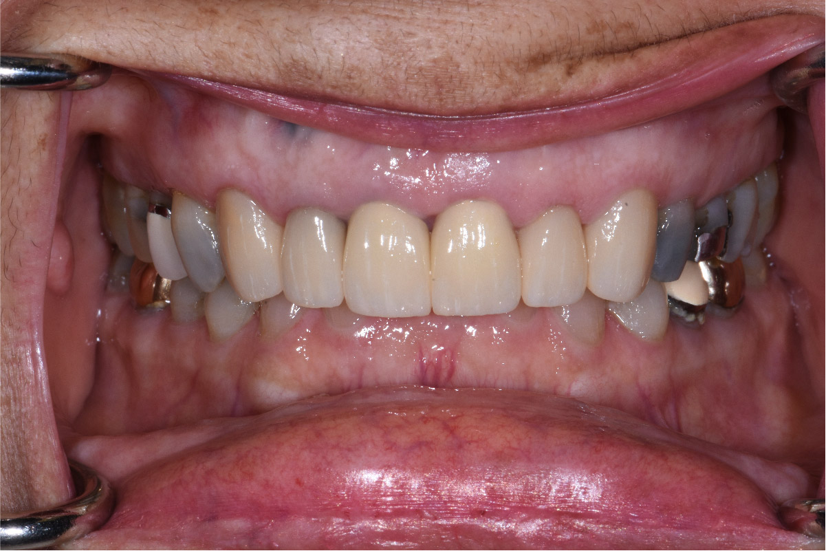
full mouth reconstruction patient

Before And After Photos

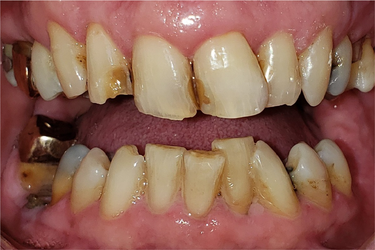
Before After Close up of dental patient mouth before and after procedureClose up of dental patient mouth before and after procedure
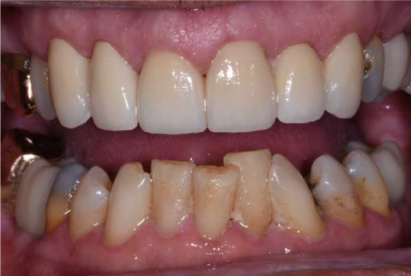
Before After Close up of dental patient mouth before and after procedureClose up of dental patient mouth before and after procedure
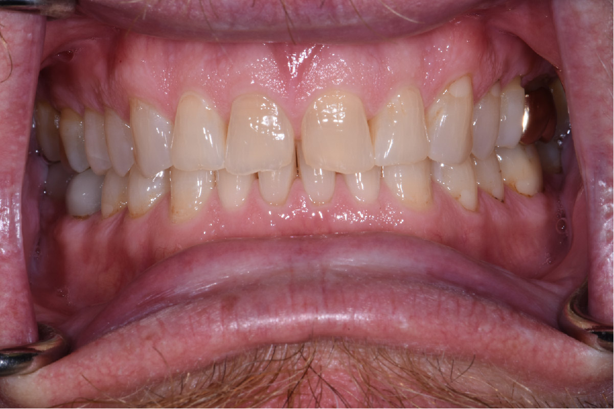
Before After Close up of dental patient mouth before and after procedureClose up of dental patient mouth before and after procedure
Before After Close up of dental patient mouth before and after procedureafter dental procedure patient mouth
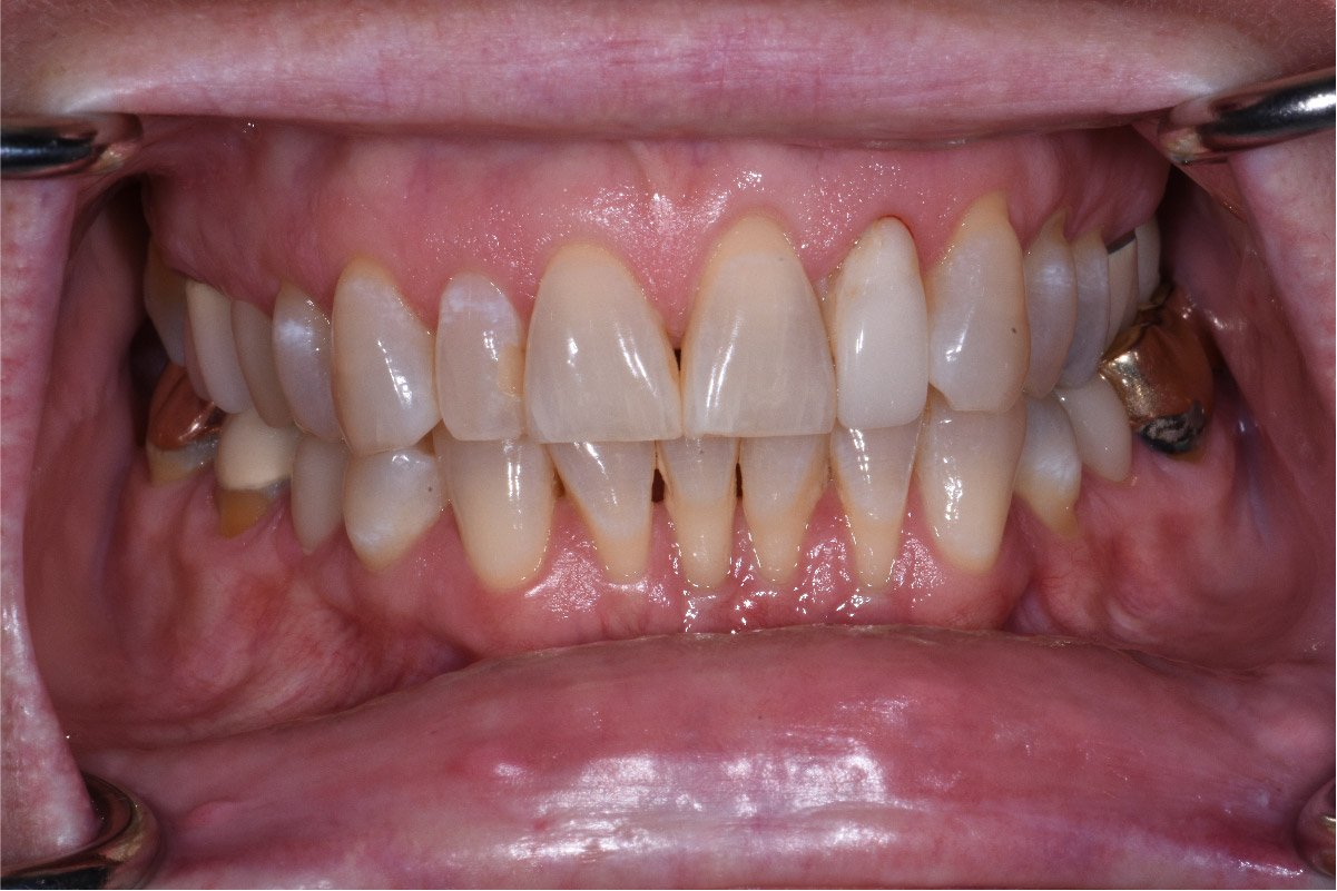
Before After Close up of dental patient mouth before and after procedureafter
Before After Close up of dental patient mouth before and after procedureClose up of dental patient mouth before and after procedure
Before After Close up of dental patient mouth before and after procedureClose up of dental patient mouth before and after procedure
Before After Close up of dental patient mouth before and after procedureClose up of dental patient mouth before and after procedure
Before After Close up of dental patient mouth before and after procedureClose up of dental patient mouth before and after procedure
Before After Close up of dental patient mouth before and after procedureClose up of dental patient mouth before and after procedure
Before After Close up of dental patient mouth before and after procedureClose up of dental patient mouth before and after procedure
Before After Close up of dental patient mouth before and after procedureClose up of dental patient mouth before and after procedure
Before After Close up of dental patient mouth before and after procedureClose up of dental patient mouth before and after procedure
Before After Close up of dental patient mouth before and after procedureClose up of dental patient mouth before and after procedure
Before After Close up of dental patient mouth before and after procedureClose up of dental patient mouth before and after procedure
Before After Close up of dental patient mouth before and after procedureClose up of dental patient mouth before and after procedure
Before After Close up of dental patient mouth before and after procedureClose up of dental patient mouth before and after procedure
Before After Close up of dental patient mouth before and after procedureClose up of dental patient mouth before and after procedure
Before After Close up of dental patient mouth before and after procedureClose up of dental patient mouth before and after procedure
Before After Close up of dental patient mouth before and after procedureClose up of dental patient mouth before and after procedure
Before After Close up of dental patient mouth before and after procedureClose up of dental patient mouth before and after procedure
Before After Close up of dental patient mouth before and after procedureClose up of dental patient mouth before and after procedure
Before After Close up of dental patient mouth before and after procedureClose up of dental patient mouth before and after procedure
Before After Close up of dental patient mouth before and after procedureClose up of dental patient mouth before and after procedure
Before After Close up of dental patient mouth before and after procedureClose up of dental patient mouth before and after procedure
Before After Close up of dental patient mouth before and after procedureClose up of dental patient mouth before and after procedure
Before After Close up of dental patient mouth before and after procedureClose up of dental patient mouth before and after procedure

Judgment-Free, High-Quality Dentistry is Possible

Experience it for yourself!